
文章插图
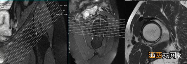
在标准横轴面图像上(如果定位像不好定位,可以先扫描一个标准的横轴面图像再定)定位线平行于股骨颈可以得到斜冠状面图像,髋骨图片构造图解 。
相位编码方向为左右方向 。
采用过采集技术,右侧髋骨图片,防止卷折伪影 。
采用较短TE值,短回波链的高分辨率扫描更有利于显示髋骨关节软骨、盂唇结构 。
斜简冠状面图像主要观察外上盂唇,即11点到3点方向男性 。
FOV
160-180mm
PDWI:TE
30-40ms
层厚/间距
3.0-4.0/0-0.5mm
矩阵
≥320*224
可线根据需求合理调整相关参数 。

文章插图
单侧髋关节笔画的扫描时,采用脚尖并拢的方式扫描更有利于斜冠状x和斜矢状的定位,且可以有效避免定位角度大于45°后出现图像反转的情况 。

文章插图
在标准横轴面上定位线垂直于股骨颈,标准冠状面上定位线平行于股骨颈可以得到斜矢状面图像 。
相位编码方向为前后方向 。
采用过采集技术,右侧髋骨图片,防止卷折伪影 。
采用较短TE值,短回波链的高分辨率扫描更有利于显示髋骨关节软骨、盂唇结构 。
斜矢状面主要用于观察前盂唇及后盂唇,即8点至11点方向和3点至5点方向 。
FOV
160-180mm
PDWI:TE
30-40ms
层厚/间距
3.0-4.0/0-0.5mm
矩阵
≥320*224
可线根据需求合理调整相关参数 。

文章插图
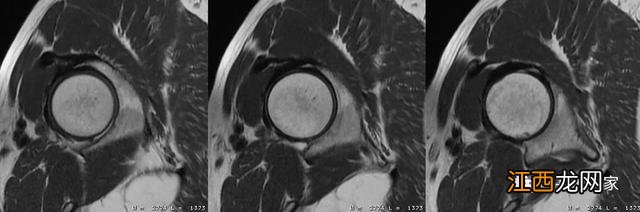
在单髋的斜冠状面和斜矢状面上定位线垂直于股骨颈可以得到单髋短轴面图像,男性髋骨x线示意图,该横断面图像是对斜矢状面和冠状面的补充 。
在单髋的横断面常采用不压脂构造的PDWI扫描 。
相位编码方向为前后方向 。
采用较短TE值,短回波链的高分辨率扫描更有利于显示髋骨关节软骨、盂唇结构 。
采用过采集技术,右侧髋骨图片,防止卷折伪影 。
FOV
160-180mm
PDWI:TE
30-40ms
层厚/间距
3.0-4.0/0-0.5mm
矩阵
≥320*224
可线根据需求合理调整相关参数 。

文章插图
不压脂的PDWI序列可以将高信号的骨髓和低信号的盂唇清晰分开,可以更好的评估髋臼、股骨近端骨质、髋臼过度覆盖以及髋臼发育不良等 。

文章插图
放射状髋臼盂唇扫描所得的髋骨图像会产生放射状的交叉伪影,其为诊断提供的信息是有限的,且所得的图像对读片者要求较高,目前该序列不作为常规的扫描序列 。
关节造影
如常规的图像难对病变作出诊断时,可采用1:(150-300)的GD-DTPA对比剂30min后行单髋关节造影,扩张男性关节囊,提高关节内组织对比度,更好地显示关节内的精细男结构与病变组织 。
1.x明确有无MRI造影禁忌症 。
2.使用钆剂与相应图解溶液配比配置造影剂,髋骨图片大全 。
3.确定穿刺点,注射造影剂 。
4.待造影剂充分填充于关节腔后,行横轴面,斜女矢状面、斜冠状面的扫描 。
5.在注射对比剂中添加适量解剖的缓减疼痛类药物(如利多卡因、氢化男性可的松等),可以有效鉴别关节疼痛的来源 。
相关经验推荐
- 白介素是什么药 白介素是治疗什么病的
- 我们都是小青蛙呱呱呱是什么电视剧里面的 我们都是小青蛙
- 数字9的正确写法 数字7的正确写法
- 我的神奇画笔 神奇画笔
- 香蕉的作用和功效以及副作用 香蕉的作用与功效
- 西梅的功效与作用及营养价值 西梅的功效与禁忌
- 推天河水退烧的原理 推天河水
- 除夜宿石头驿寒灯这个意象的作用 除夜宿石头驿
- 桂皮是什么做的 桂皮是什么
- 湖南煎鱼的做法 煎鱼的做法
