
文章图片

文章图片

文章图片

文章图片

文章图片

文章图片

文章图片

文章图片

文章图片

一说到掏耳朵 , 我第一想到的就是每逢朋友到访 , 我都会带他们去体验下本地的特色 , 联合国的非物质文化遗产——采耳 , 一开始他们是拒绝的 , 可是既然“来都来了 , 何不尝试下” , 最后禁不住我的怂恿和采耳师傅的热情 , 都会来一次体验颇深的成都街头掏耳朵经历 , 而我每次都在旁边拍照帮她们纪念下这一刻 。
她们事后都会这么形容它:舒服得不行 , 全身酥酥麻麻 , 飘飘欲仙~
掏耳朵 , 是我们生活中很常见的一种行为习惯 , 会让我们觉得很舒服 。 但是因为条件的限制 , 个人想掏却不是方便 , 借助的工具也不是特别顺手 , 关键掏耳朵的行为还触及人身体挺脆弱的那部分也就是耳膜 , 而且专家一再说耳屎不是屎 , 是耵聍(ding ning) , 它们是可以保护耳朵的 , 那也挡不住我们掏耳朵的热情 , 虽然我们没有街头采耳师傅那样专业的传统工具掏耳勺 , 也要用棉签、掏耳勺等工具来偶尔掏下(不能用发卡 , 牙签) 。
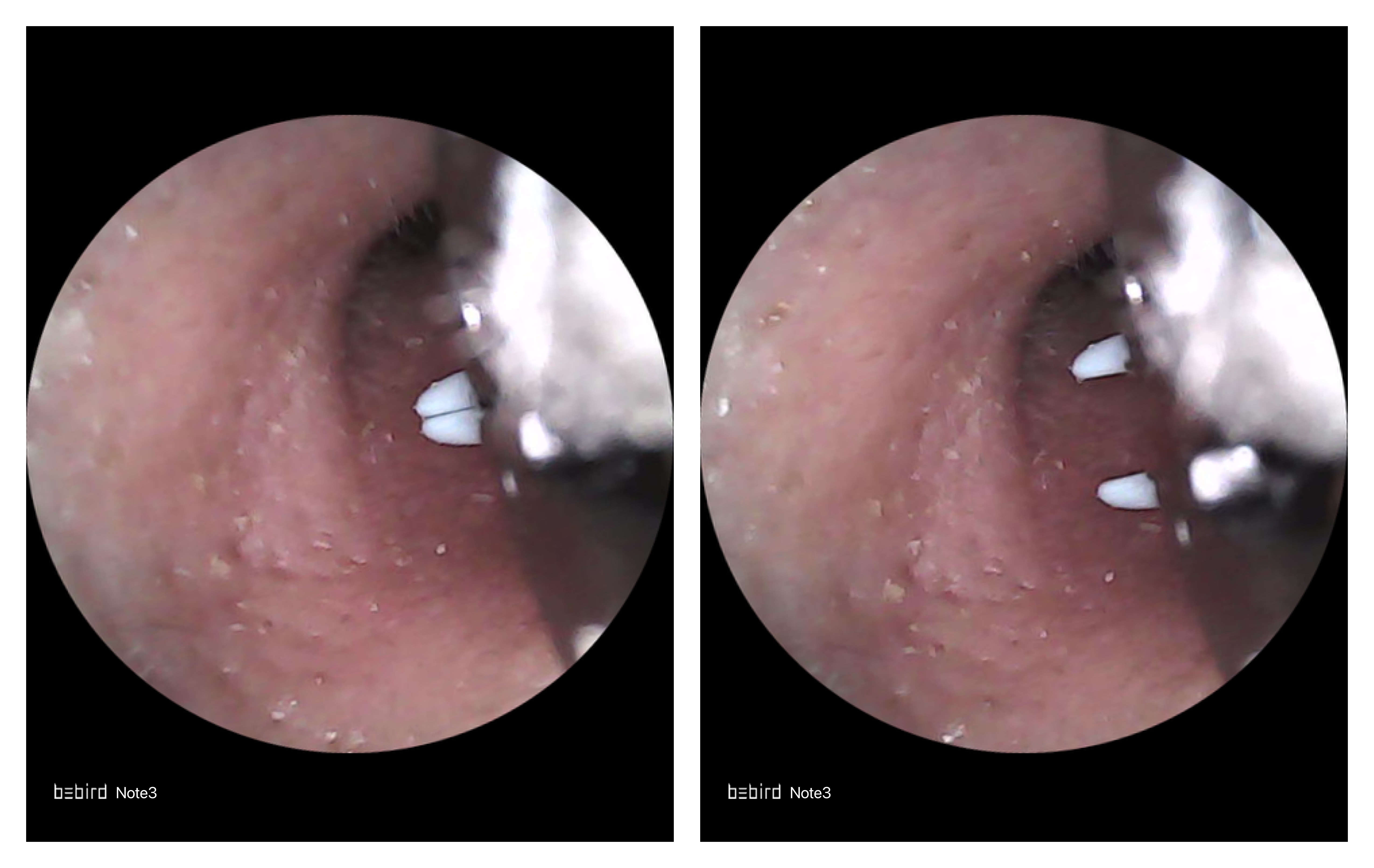
今天出场的这位和之前的掏耳朵工具大不一样 , 全身高科技 , 包括全程可视、可夹可采、无线充电等诸多黑科技 , 下面就隆重给大家介绍下:bebird Note3 Pro Max三合一全能可视采耳仪:
产品的包装盒正面是黑色的 , 四周则是一圈金色 , 质感不错 。 这款采耳仪主打特色就是功能三合一 , 分别是耳道检查、可视耳勺、可视镊子 。
打开包装 , 就能看到这个黑科技的采耳仪了 , 远看像只钢笔 , 其实它是一个采耳仪 。
这就是今天的主角 , Note3 Pro Max三合一全能可视采耳仪 , 可视、可夹、可采 。 采耳仪体型小巧 , 和钢笔差不多的 。 正因为这样 , 也就很方便握持 。
采耳仪全身采用防滑纹路 , 盖子和仪器是两种不同的材质 , 一是功能上的不同 , 二则这样两者也好区分 。
远看这是一个好看的底座 , 近看这是一个充电座 , 打开后会发现这竟然还是一个收纳仓 。 摆在家里任何地方都是一个精致美观的摆件 。
相关经验推荐
- 空调|如今国产机型才是换机王道,iPhone 机型再见,再也不见
- 雷蛇|空调只用不洗,小心风中的细菌!天眼新闻96811手把手教你如何清洗空调
- 空调|空调柜机哪个牌子性价比高?2022年空调柜机性价比排行榜前5名
- 小米科技|我米9真的发烫严重,不到空调屋不敢玩,屏幕时常失灵
- OLED|海尔京馨3匹空调柜机高效制冷暖,可紫外除菌!
- 空调|没想到,这5件家电耗电比空调还多!家里有的,要多关注
- 空调|远程控制空调的方法
- 空调|空调的匹表示什么意思?空调大1匹和1.5匹有何区别
- 空调|Find X5 Pro、iPhone 13 Pro、Mate40 Pro影像对比
- 空调|高通的市场胜负手在中端市场
