
文章插图
究其原因 , 小时候的陈乔恩非常没有安全感,自称每天都活在恐惧之中,因为妈妈随时都可能打骂她 。
面对节目组的采访 , 她整个人都非常的紧张,时不时回头张望,对于妈妈的害怕与恐惧让人心疼 。

文章插图
她说,自己20岁之前,从未敢牵过妈妈的手,如今虽然长大了,但跟妈妈之间的隔阂仍旧存在 , 两人独处时,时常不知道说什么、做什么 。

文章插图
网上曾有个热搜问题:经常被父母吼骂的孩子,后来怎么样了?
其中点赞最高的回答是:非常的自卑!
文文爸小时候也经常被父母吼骂,尤其看到父母吼骂时那种冷酷的目光,内心会非常的害怕,总觉得自己是个不被人疼、不被人爱的孩子 。

文章插图
导致长大以后,就非常在意身边人对自己的评价,当有不确定的时候 , 就习惯性地去讨好,去获得关注,生活总是过得小心翼翼、胆怯 。当自己受到伤害时,也只会默默地承受,即使自己做得不错,也时常自我贬低 , 自卑到骨子里 。
在查阅相关资料的途中,文文爸发现:经常性吼骂孩子的伤害,远不止于此,真的可能影响智商 。
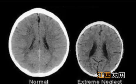
科学家们曾对2个3岁的孩子,一个孩子经常被夸,一个孩子经常被吼骂,同时对他们进行大脑扫描 。

文章插图
扫描结果发现,经常被吼骂的孩子 , 大脑明显小了一圈,脑容量变小了,智力发育也受到了损伤 。
科学家们在研究中还发现,经常被父母吼骂的孩子,长大后言语智商平均只有112分,比没有遭受过父母吼骂的孩子,平均分低12分 。
江西省有一对夫妻 , 家族中都没有精神病史 , 但他们的3个儿子中,有两个都得了精神分裂症 。

文章插图
精神科专家了解情况后,才发现,2个儿子之所以会得精神分裂,跟父母的吼骂有很大关系 。
另外一个没有精神分裂的儿子,是因为受不了父母的吼骂 , 早早地外出打工,才得以逃脱“变疯”的命运 。
由此可见,父母的吼骂,对孩子造成的伤害真的很大 。
父母要怎么做,才能停止吼骂孩子?
①学会喊停
《爱情公寓》中的关谷神奇与唐悠悠,每次吵架时,只要一方喊“暂停”,双方都会停止争吵,和好如初 。
文文爸觉得,“喊停”这个方法同样适用于父母与孩子之间,对于经常性吼孩子的父母来说,学会喊停,是育儿过程中非常重要的一课 。
文文爸就跟女儿约定 , 如果自己情绪上来要爆发时,女儿也可以跟我说:“爸爸,请暂停”!
此时,我就会放下“你应该“、“你必须”等执念,将孩子当成独立的个体,尝试着理解孩子 。
②尝试用一些沟通技巧
对于大多数成年人而言,只有在心情特别好的时候,才会愿意配合、反省并作出改变 , 孩子也同样如此 。

文章插图
比如女儿有次女儿又将书扔的满客厅都是,按照文文爸以往的风格,肯定会说:“你怎么又把书乱扔了......”
相关经验推荐
- 4岁孩子能吃风干鸭脖吗-风干鸭脖过期能吃吗
- 这个被美国杂志吹爆的低调省份,美了千年,却一直被遗忘
- 乔家大院的沧桑历史:院楼典雅文物精致却被日均侵占全家外逃
- iPhone关机后仍在运行吗-苹果手机关机了为啥还能打通
- 幼儿园10年教龄的老师坦言:“我拒绝让自己的孩子上幼儿园!”
- 怎么教育孩子不吸烟 怎么教育孩子不要吃烟
- 怎么教育孩子不要轻言放弃,不要放弃孩子的教育
- 怎么教育孩子怎么做事做人的事情 怎么教育孩子不要做某事
- 冰箱门怎么防止小孩打开 怎么教育孩子不要玩冰箱门
- 怎么教育孩子不要往鼻孔塞异物
